-
白肺到底是什么 白肺是什么意思 编辑
白肺是什么意思?
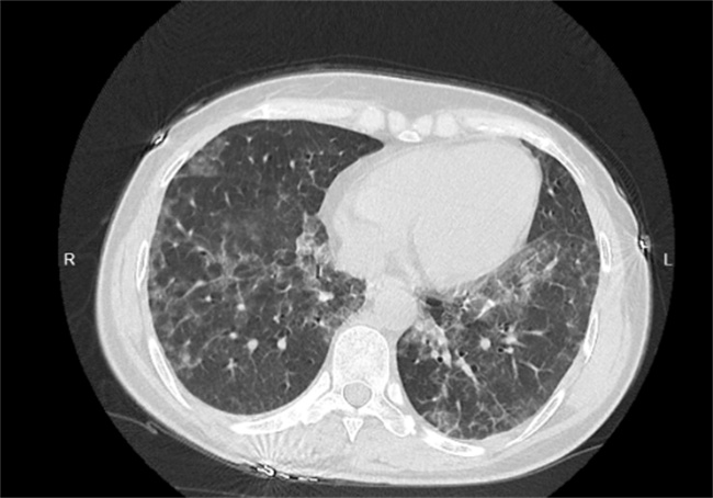
白肺是指肺部组织会呈现出大片的白色病变现象。主要是进行胸部X线片检查,还有胸部CT检查时出现一些不同的白色病变。白肺的表现一般都是出现在重症肺炎上,可能是细菌病毒又或者是其他危害,生物感染之后,没有得到控制所导致。除了和新冠肺炎有关之外,和下面的这些因素也有关系。

1、吸烟
长时间的抽烟对于个人的健康就会有影响,香烟里面就会含有一氧化碳以及尼古丁,这些物质在进入到肺部之后,对于肺部细胞可能就会造成破坏,使得肺部功能逐渐下降。

2、饮食
有些人长时间烟酒不离手在此时应该尽可能减少吃辛辣刺激性的食物,否则有害物质都会堆积在肺部,还会刺激到肺部细胞繁殖。所以平时还是应该选择多喝水,多吃一些蔬菜水果,在日常生活中也应该多注意饮食,保证营养均衡。
3、病毒感染
白肺一般和病毒性感染有关,常见的有肺结核,肺炎以及支气管炎。病毒感染主要是由某一些细菌所引起的各种类型,比如葡萄球菌,肺炎链球菌,还有链球菌等等。病毒很有可能就会通过鼻腔,通过口腔,通过皮肤进入到呼吸道内。有一些白肺患者可能还会有咳嗽以及咳痰的症状,应该及时到医院接受治疗,还需要注重于防寒保暖,能够有效避免呼吸道疾病。

4、呼吸道感染
感冒发烧同样也有可能会引起白肺病毒引起的呼吸道感染就是一种比较常见的病因,如果在感冒之后没有注重及时的治疗,这就可能会导致肺部感染,慢慢的就会形成白肺。如果有合并支气管炎症,又或者是哮喘白,肺的出现几率要比正常人更高,在此时就需要注意个人的卫生,主要的就在于个人呼吸方面。在出现白肺之后,还需要多注意喝白开水能够有效促进新陈代谢,减少细菌在肺部继续存活的机会。






