-
咳嗽发热会变成白肺吗 感染新冠会变“白肺”吗 编辑
感染新冠会变“白肺”吗?
咳嗽发热有可能会转变成白肺,虽然转变成白肺的机会并非是100%的,但是注意好一些防护措施真的不可以忽视。如果发现有持续高烧不退,有剧烈咳嗽,而且还会有持续胸闷等症状,一定要及时到医院接受救治,千万不要过于的忽视。

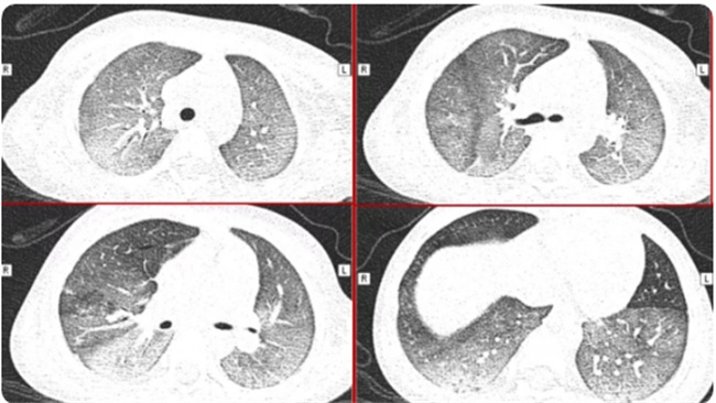
什么叫做白肺?
被称之为急性呼吸窘迫性综合症,一般都是在CT检查之下所形成的一种表现,可以看到有一大片的白色状。患者还会有着许多的临床症状,首先白肺患者的血氧饱和度比较低,会有呼吸不畅,会有胸闷气短等现象,而且还可能会有严重的缺氧情况。

造成白肺的原因
造成白肺的原因主要是肺部原本就有感染,或者是其他部位有感染可能就会导致人体有炎症反应。炎症反应是人体生理防御机制的一种常见表现,但免疫细胞不仅仅会杀死病毒,对于自身脏器也会产生一定的创伤,因此就会形成一种白肺现象。根据观察,新冠病毒不仅仅可能就会入侵人体的上呼吸道,有时候对于人体下呼吸道也会产生影响,此时就可能会形成白肺。尤其是有糖尿病,肥胖症,结构性肺病还有阻塞性肺炎的人群受到的影响就会非常的大。

白肺能预防吗?
不能够预防,就只能够达到预警的效果,建议在家里购买一个血氧仪,可以有效监测血氧饱和度。另外还需要特别的提醒老人是否存在沉默性缺氧,没有胸闷气短的症状,但事实上肺部早已出现严重的缺氧现象,这类的情况一般都容易出现在老年人群的身上。一般在做检测时如果发现血氧饱和度明显低于93%,还是应该及时的就医,因为身体随时都有可能会进入到缺氧的状态,对个人的健康会造成严重的隐患。如果家中没有条件,也可以自己在静止的状态下测试一下呼吸频率,还有心率。






