-
牙缝会不会因拔智齿变大 拔智齿后牙缝会变大吗 编辑
拔智齿后牙缝会变大吗
不会。平时我们发现牙齿跟萝卜有所相似,就如大家所说,一个萝卜一个坑,一颗牙齿一个洞,而我们通过医生的评估之后发现需要拔智齿,一般拔完智齿之后不会导致其他的牙齿出现缝隙或者是松动的情况,不过牙智齿的出现可能会对我们的牙齿产生不好的影响,所以我们通过医生的评估之后,及时的拔完智齿,再拔智齿的时候,大家需要鼓足勇气,并且要时时刻刻的告知自己智齿并没有好处。

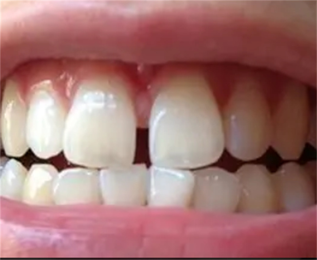
在平时的生活中,有部分小伙伴可能会遇到牙缝变得越来越大的情况,甚至会出现缺损的问题,他们尝试了多种方法,但是产生的效果都不是特别的好,个人觉得这种问题主要出在门牙上面,要是出在门牙上面的话会非常的尴尬,因为门牙上面的门缝特别的大,这时候他们想要缓解的话也是比较困难的。

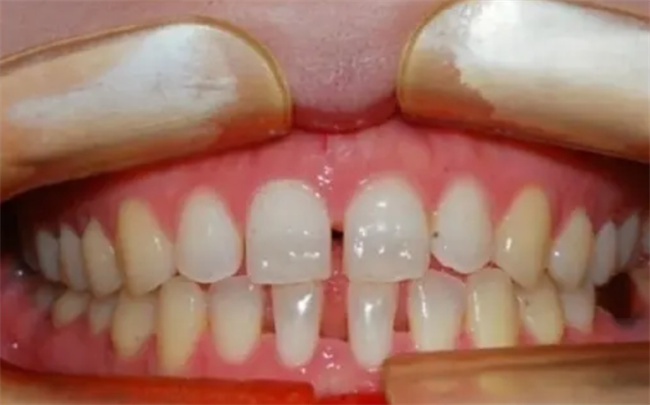
在平如果我们发现自己的牙缝越来越大,这时候可以通过牙齿矫正来有效的缓解,一般重新排列牙齿,让牙齿慢慢的变得紧凑,产生的效果比较明显,另外也有部分小伙伴直接使用牙贴面,或者是烤瓷牙冠来进行修复,只是这两种方式在修复的时候可能会适当的磨损牙齿对牙齿也会产生一定的危害,性想要有效的修复牙缝的话,建议患者先去医院做相关的检查,通过检查完成之后再进行缓解。

一般牙缝的出现明确的告知大家不是牙齿变得越来越小,而是我们的牙龈开始萎缩,牙龈萎缩之后就会形成恶性循环,会出现长期的塞牙食物的残渣停留在口腔内会继续发酵,这时候口腔当中会堆积大量的细菌病毒,长此以往会导致牙龈出现炎症,然后再继续萎缩,慢慢的就会形成牙周炎,牙周炎会导致牙龈不断的萎缩,长此以往就形成了恶性循环。






